Membrana epirretiniana
Una de las enfermedades retinianas más frecuentes y con una buena solución microquirúrgica en manos experimentadas.

¿Qué es la membrana epirretiniana macular?
La membrana epirretiniana (que significa “membrana sobre la retina”) es una patología ocular consistente en el desarrollo de una membrana celular translúcida sobre la zona central de la retina (mácula) que es la zona fundamental para la visión.
Cuando esta membrana se contrae y se arruga, causa una deformación progresiva de la retina con la consiguiente alteración visual. La sintomatología más frecuente es la pérdida de agudeza visual y la distorsión de las imágenes (también llamada metamorfopsia)
¿Es muy frecuente esta enfermedad?
Estas membranas epimaculares afectan al 2% de la población a partir de los 50 años. Inicialmente se manifiestan como micropliegues y un sutil brillo sobre la mácula (maculopatía en celofán), que puede hacer difícil su detección. Estas membranas suelen evolucionar lentamente y aparecen hasta en un 20% de las personas a los 75 años. En muchos casos no evolucionan y no producen sintomatología evidente, lo que hace innecesaria su extracción.
¿Qué la ocasiona?
La mayoría de membranas epirretinianas en personas mayores de 60 años se consideran “idiopáticas”, es decir, de causa desconocida. Sin embargo, actualmente se cree que su origen está en el proceso de envejecimiento que sufre el gel que rellena el interior del ojo (humor vítreo) y que con el paso de los años se termina separando de la retina (desprendimiento posterior de vítreo). En algunas personas este proceso libera células gliales (células que se encargan de la reparación de la retina) las cuales ponen en marcha la formación de la membrana.
También puede estar relacionada con traumatismos, enfermedades vasculares (diabetes o trombosis venosa retiniana), tras cirugía vitreorretiniana o como complicación de un desprendimiento de retina.
¿Qué síntomas produce la membrana epirretiniana macular?
En el momento inicial, el paciente percibe una leve distorsión de las imágenes, las líneas onduladas y alteraciones de los textos escritos (letras, números, etc. ) más pequeños. Cuando la tracción ejercida por la membrana epirretiniana aumenta sobre la mácula, la lectura empeora. También es frecuente que el paciente note visión borrosa en la zona central de la visión. La metamorfopsia la confirmamos con el test de Amsler y la visión borrosa con la proyección de Optotipos en la medida de la Agudeza Visual.
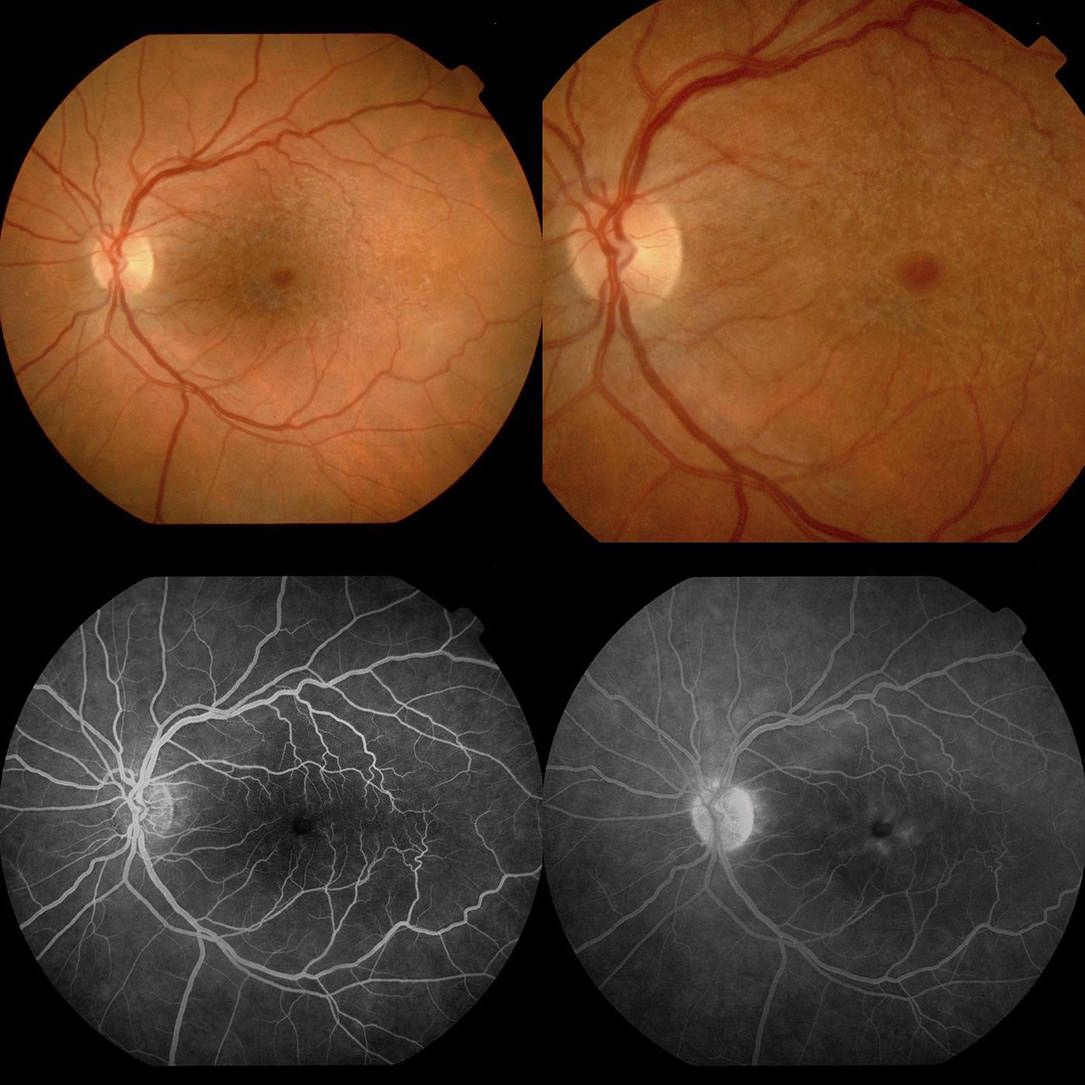
¿Cómo se diagnostica?
Para detectar una membrana epirretiniana macular, el oftalmólogo examina el fondo de ojo en la consulta. La mejor prueba complementaria es la Tomografía de Coherencia Óptica (OCT). aunque en ocasiones conviene añadir la prueba de la Angiografía fluorescencia (AGF). La valoración de las imágenes que se obtienen con esta prueba permite al oftalmólogo cuantificar y medir las estructuras retinianas, determinar su alteración y planificar el tratamiento.

¿Cuándo debe tratarse?
En los casos más leves se puede optar por la vigilancia, realizando controles periódicos, sin necesidad de operar. En cambio, cuando la visión empeora, las imágenes se distorsionan y se deteriora la anatomía macular, debe valorarse la cirugía vitreorretiniana (vitrectomía posterior)
¿Es efectiva la intervención quirúrgica?
Ésta es una de las cirugías de retina con mejores resultados anatómicos y visuales. Puede recuperarse la visión perdida en el proceso de crecimiento de la membrana, pero el promedio es que se recupera sólo la mitad de lo perdido. Por eso no es conveniente dejar que la visión se deteriore demasiado.
¿Puede reaparecer la enfermedad después de la cirugía?
El porcentaje de recurrencia (recrecimiento de la membrana) de este tipo de lesiones tratadas mediante vitrectomía es menor del 5% de los casos, siendo más frecuente en pacientes jóvenes.
¿Puede conducir a la ceguera?
La evolución de esta enfermedad sin tratamiento conlleva una pérdida de visión central importante. No se pierde completamente la visión porque sólo afecta a la mácula y respeta el resto de la retina, aunque el resultado final de pérdida de visión central puede ser muy invalidante, por lo que generalmente se recomienda la intervención quirúrgica a tiempo para frenar el proceso y, en la medida de lo posible, revertirlo.